NOS RESULTATS


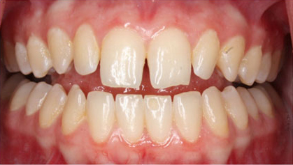
AVANT
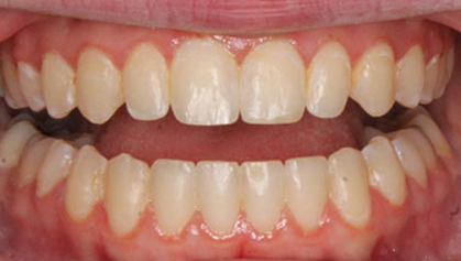
APRES
Jeanne ,38 ans
« Je voulais aligner mes dents. J’étais complexé et du cou je ne souriais jamais. Safe Aligner m’a permis de retrouver une certaine sérénité avec mon apparence, je ne m’en souci plus quand il y a des gens autour de moi. »


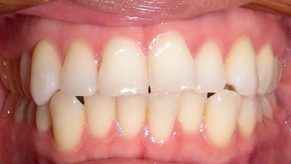
AVANT
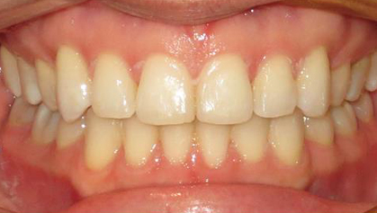
APRES
kevin ,18 ans
« mes dents étaient décalés mais je ne voulais pas porter de bagues pour aller au lycée, Safe Aligner m’a permis de modifier mes dents et mon sourire sans que le traitement soit visible. »


AVANT
APRES
Mélanie ,26 ans
« Avant, mes dents se chevauchaient et m’empêchait de sourire devant les autres. A plus de 25 ans, je ne me voyais pas porter des bagues et donc quand on m’a parlé de Safe Aligner ,je n’ai pas hésité une seconde. »